院内内装

機器紹介

エルフ内科クリニックの
X線検査機器

一般撮影装置
(胸部正面AI診断ソフト内蔵)

患者様の症状により胸部・腹部など様々な部位の撮影が可能です。

特に呼吸器疾患において胸部レントゲン検査を行います。
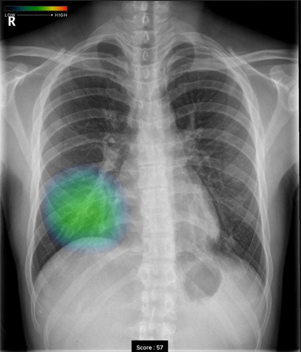
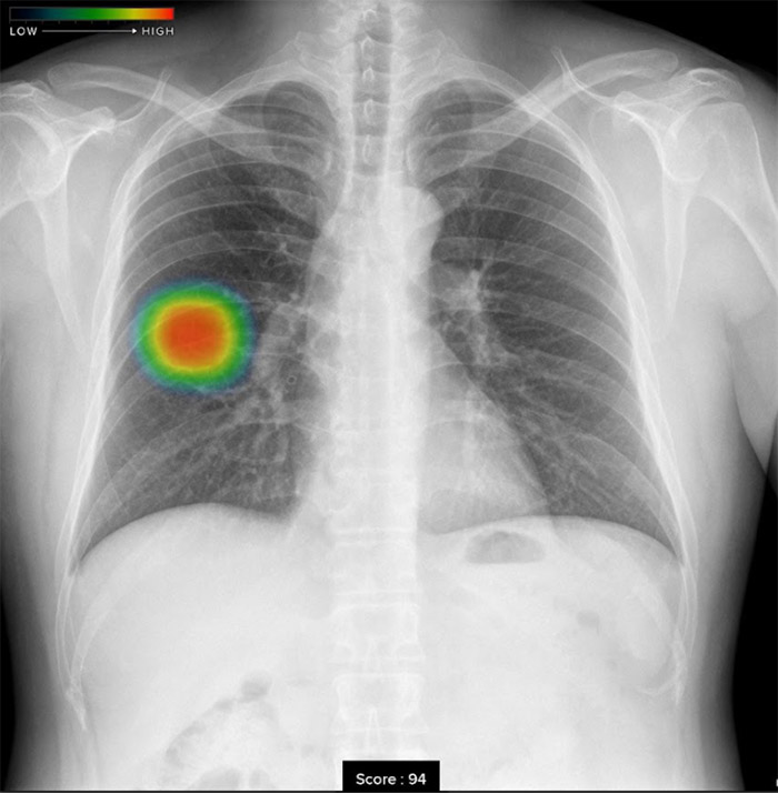
胸部レントゲン検査の場合、見る医師が少しでも異常がありそうと判断をしたら「要精査」とコメントし精密検査を行う流れになります。見落としがないように少しでも異常が疑われればやや過剰にでも異常と判断をいたします。そこでエルフ内科クリニックでは最新のAI技術を活用し、病変検出能が明らかに向上する「胸部X線画像病変検出ソフトウエアCXR-AID」を導入いたしました。
撮影画像を自動解析して、結節、腫瘤影、浸潤影、気胸が疑われる領域を検出しマーキングいたしますので、医師とAIがダブルチェックを行ない、診断精度を高めております。

  • 気胸気胸
  • 結節・腫瘤影結節・腫瘤影
  • 浸潤影浸潤影

一般撮影検査の流れ

検査の準備として、服や体に付いている金属などを外します。
検査着の貸し出しも可能です。
撮影部位により立位や臥位で撮影を行ったり、呼吸を吸ったり吐いたりして撮影を行いますので、その都度スタッフがご説明いたします。息を止めていただくのは一瞬です。
検査結果を先生が説明いたしますので待合室でお待ちください。

CT検査

CT検査とはX線を人体に照射し通過してきたX線の強弱を検出器で収集し、そのデータをコンピューターが計算・解析を行うことで様々な画像を作り出す検査です。
全身の撮影が可能となっておりますが特に脳、心臓・大動脈・気管支・肺などの胸部、肝臓や腎臓や膵臓や大腸などの腹部の病変に関しては、優れた画像評価が行えます。
CT検査を一言で説明をすると「身体の輪切りの検査」になります。輪切りにすることによりミリ単位で身体の状態を正確に評価できる検査になります。
近年、撮影による被爆をより低減させる技術が発達しており、身体へのダメージもほぼなく安心して受けられます。肺の評価にあたっては造影剤という薬を使用しなくても十分に評価が行えるため検査としてのリスクはございません。

CT検査の流れ

  • 検査の準備として、服や体に付いている金属などを外します。
  • 検査着の貸し出しも可能です。
  • CT検査機器の寝台に仰向けで寝ていただきます。
  • まず、位置決めの撮影を行います(5秒)
  • CTの検査を行います(10秒~20秒)
    この際に体動防止の為に呼吸を止めていただきます。アナウンスに合わせてください。検査中に体の異常を感じた場合はスタッフにお声かけください。
  • 着替えをして頂き、検査終了となります。

合計で10分~15分程度で検査は終了となります。
検査結果を先生が説明いたしますので待合室でお待ちください。

注意事項

  • 造影検査は行っておりません。
  • 撮影部位  頭部・副鼻腔・胸部・腹部・骨盤(胸部~骨盤・腹部~骨盤)
  • 2部位以上の検査は日にちを空けて頂きます。
  • 胸部CT検査は食事の制限はございません。
  • 腹部CT検査及び骨盤CT検査は食後2時間以上の間隔をお願いいたします。
  • 整形外科(骨・関節)の検査は行っておりません。
  • 車椅子の患者さんは、お手洗いがビル仕様のためにご使用いただけません。
  • 読影に関して胸部至急案件のみ直接ご連絡致します。

その他に関しては 、基本的に2日以内にご報告いたします。
但し、週末金曜日以降の検査の場合は 火曜日以降に報告させていただきます。

エルフ内科クリニックで
検査可能な生理検査

心電図検査

心電図検査

心電図検査の所要時間は3~5分です。 この検査は、心臓から発生する電流を機械が感知して記録するものです。

超音波検査

超音波検査

超音波検査は、超音波を発生させる器械(プローブ)をからだの表面に当てるだけで検査を行えるため、特に準備も必要なく、短時間で手軽に受けることができます。当クリニックでは腹部超音波検査、頸動脈超音波検査、甲状腺超音波検査、心臓超音波検査を行っております。

腹部超音波

主に肝臓、胆嚢(たんのう)・胆管、膵臓、腎臓、脾臓、腹部大動脈を対象に、腫瘍(しゅよう)や結石、炎症の有無などを確認します。

頸動脈超音波

頸動脈と呼ばれる首の血管の壁の厚さやプラーク(コレステロールなどが蓄積して血管内にできた隆起)の状態を調べることで、動脈硬化の進行度合いを判定します。

甲状腺超音波

甲状腺の大きさや腫瘍の有無を調べます。甲状腺機能の異常が疑われる場合は、甲状腺ホルモンを調べるための血液検査も行います。

心臓超音波

心臓の動きや構造、大きさ、壁の厚さ、弁の動き、心臓内の血流を観察します。

肺機能検査

口から出入りする空気の量を測定します。肺活量と1秒率(最初の1秒間にはき出す量と肺活量の比率)から肺容量が減少した呼吸器病(拘束性障害)と空気が出入りしにくい呼吸器病(閉塞性障害、COPD)に分けることができます。

血圧脈波検査

四肢の血圧を測定することで、血管の硬さや詰まり、血管年齢などが解ります。
測定に痛みはなく、検査時間は数分です。

エルフ内科クリニックの
迅速検査装置

エルフ内科クリニックの迅速検査装置
  • 血糖分析装置
  • HbA1C測定装置
  • 全自動血球計数器
  • 臨床化学分析装置(CRP)
  • 小型尿分析器

5~10分で診断に必要な検査結果を報告します。